微信服务号

微信订阅号

关注微信
您所在的位置: 首页 >>科技兴院 >>技术新看点

技术新看点

技术在线丨多学科同心攻坚 微创巧摘胸内“巨瘤”——本溪市中心医院成功救治颈胸交界巨大甲状腺肿物患者

字号: + - 14

  近日,本溪市中心医院心胸外科主任周传江、副主任段超团队、普外科第二病区负责人李泽强团队、麻醉科主任薛志强团队及手术室护士长边旭团队紧密协作,成功为一名颈胸交界处巨大甲状腺肿物患者实施高难度联合切除手术。这台凝聚多学科智慧与力量的手术,不仅完整切除了困扰患者的“定时炸弹”,更彰显了医院在疑难重症诊疗领域的高超技艺与团队协作精神,以专业和担当守护百姓生命健康。

未标题-1.jpg

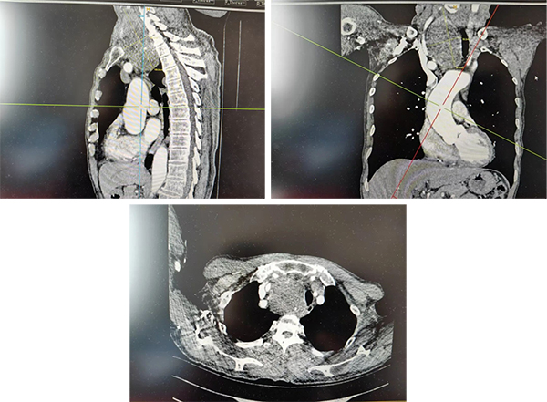
  据悉,患者就诊时,甲状腺右侧叶已长出一枚巨大肿物。检查显示,该肿物最大直径约10cm,且大部分降入胸骨后,位置极深,解剖结构复杂给治疗带来极大挑战。更棘手的是,长期受巨大肿物压迫,患者气管严重左偏,呼吸功能明显受损;若不及时手术干预,肿物持续增大可能进一步压迫大血管、神经等重要组织,随时可能危及生命。然而,颈胸交接区域血管神经密集,胸膜顶结构复杂,加之肿物体积巨大、位置特殊,常规手术入路难以触及病灶,手术难度极高、风险极大,对手术团队的技术水平和协作度提出了严峻考验。

  患者病情复杂,单一学科难以应对,必须集结多学科力量,制定最安全、最精准的诊疗方案。为确保手术万无一失,医院迅速启动多学科协作(MDT)诊疗模式,由心胸外科副主任段超普外科第二病区负责人李泽强麻醉科薛志强主任及手术室边旭护士长带领各自团队,开展术前多轮专题讨论。段超副主任作为心胸外科领域资深专家,擅长各类胸腔镜微创手术,在胸内复杂结构处理方面经验丰富;普外科第二病区负责人李泽强长期深耕普外科领域,在普外科疾病精准诊疗上造诣深厚;麻醉科主任薛志强团队针对患者气管严重左偏的特殊情况,反复评估麻醉风险、优化插管方案;边旭护士长团队则提前梳理手术流程,做好各项护理准备工作。多学科专家围绕患者病情、手术入路选择、麻醉方案优化、术中风险防控及术后护理干预等关键环节反复研判,最终确定采用“胸腔镜联合颈部手术入路”的微创方式,为患者量身定制个性化手术方案,既保证病灶完整切除,又最大限度降低手术创伤,保障手术安全。

2.jpg

  手术当日,各团队各司其职、默契配合,一场与“死神”赛跑的精准手术正式展开。麻醉环节是手术成功的第一道防线,由于患者气管严重左偏,常规插管方式风险极高,麻醉科团队凭借丰富的临床经验和精湛的麻醉技术,采用“单腔气管插管+封堵器”的特殊麻醉方式,通过精准操作与严密监测,成功搭建起安全的麻醉平台,全程保障患者生命体征平稳。手术中,边旭护士长护理团队配合精准高效,严格执行无菌操作规范,熟练传递手术器械,为手术的顺利推进提供了坚实保障。

3.jpg

  首先,段超副主任率先开展手术,采用单孔胸腔镜微创手术方式,小心翼翼地充分游离肿物下极。胸膜顶区域结构复杂,布满重要大血管及神经,每一步操作都如“走钢丝”般谨慎。副主任段超凭借娴熟的手术技巧和严谨的操作,成功避开危险区域,为后续肿物切除创造了良好条件。

4.jpg

  随后,普外科第二病区负责人李泽强团队接力上阵,经颈部切口精准操作,在充分保护周围血管和神经的前提下,顺利将这枚直径约10cm的巨大肿物完整切除。整个手术过程有条不紊、衔接流畅,各团队配合默契,最终圆满完成手术,术中出血量少,未出现任何并发症。

5.jpg

  术后,在心胸外科张秀荣护士长带领的护理团队精心护理与精准治疗下,患者恢复顺利,呼吸通畅,各项生命体征平稳,很快便可正常进食、活动,期间未出现声音嘶哑、呼吸困难等不适症状。经过一段时间的康复调理,患者已顺利出院。出院之际,患者及家属紧紧握着医护人员的手,再三表达感激之情:“多亏了本溪市中心医院的专家团队,不仅帮我解除了病痛,还让我少受了许多罪,你们的技术精湛、服务贴心,真是太贴心了!”

6.jpg

  此次高难度手术的成功开展,不仅是本溪市中心医院多学科协作(MDT)模式的生动实践,更是医院外科诊疗水平与团队协作能力的集中展现。近年来,医院始终秉持“以患者为中心”的服务理念,持续强化学科建设,推动多学科协同发展,打破学科壁垒,整合优质医疗资源,针对疑难重症患者开展MDT诊疗,为患者提供“一站式”精准诊疗服务,有效提升了疑难重症的救治成功率,减少了患者辗转就医的不便。

7.jpg

  未来,本溪市中心医院将继续深耕医疗技术创新,持续强化多学科协作,不断提升诊疗水平与服务质量,充分发挥区域医疗中心的引领作用,以精湛的医术、优质的服务、紧密的协作,为山城百姓的生命健康保驾护航,书写医院高质量发展的新篇章。