健康促进
健康科普丨读懂冠脉钙化积分:心脏血管的“健康预警信号”
冠脉钙化积分
提到心脏检查,大家常听说心电图、心脏彩超,却容易漏掉冠脉钙化积分这个“心脑血管预警神器”!它就像给心脏血管做一次“钙化体检”,能揪出血管里藏着的隐形风险,今天就来明明白白讲一讲。
先搞懂:冠脉钙化积分到底查啥?
咱们心脏供血全靠冠状动脉,就跟家里水管用久了会生锈一样,随着年纪增长,再加上高血压、高血脂这些问题,血管内壁会慢慢沉积钙盐,长出硬邦邦的“钙化斑块”,会让血管变窄、变脆,是冠心病的前兆。
而冠脉钙化积分,就是通过CT给这些钙化斑块打分,分数越高,说明血管钙化越严重,心脑血管风险也越高,核心就是帮咱们早发现问题!
这些人别忽视,建议主动查!
很多人说我平时不胸闷不心慌,没必要查?恰恰相反,血管病变早期压根没症状,等有不舒服了,可能血管已经堵得很严重了!
尤其是这几类人,一定要把这项检查提上日程:
1.40岁以上的中老年人建议在医生评估后按需检查;
2.有高血压、高血脂、糖尿病的朋友;
3.长期抽烟喝酒,家里有人得过冠心病的;
4.久坐不动、爱熬夜、体重超标的;
5.体检做胸部CT时,想顺便评估血管的。
检查超省心,完全不用怕!

做冠脉钙化积分特别方便,和普通CT流程差不多,不用空腹、不用打针,辐射剂量也很低,通常在做冠状动脉CTA时即可一并完成钙化积分的检查,当然也可以单独检查,简单快速!
拿到报告不用慌,分数对照看,一目了然!

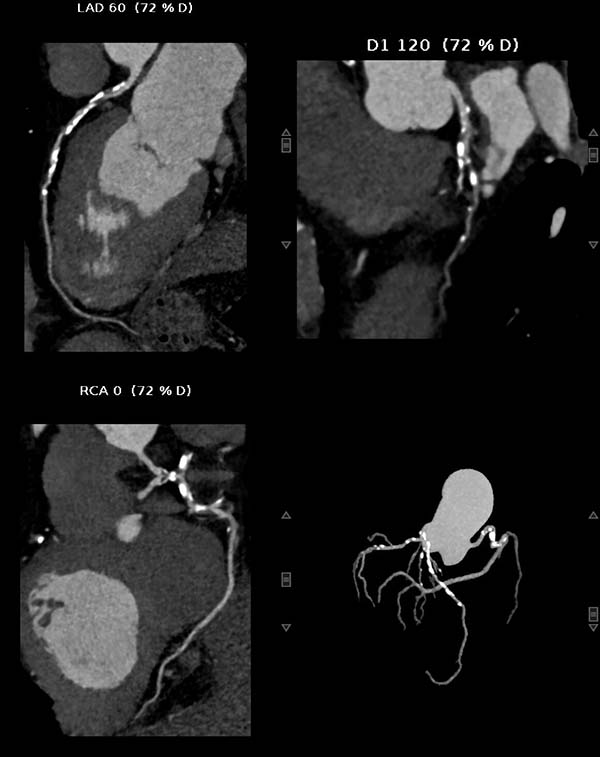
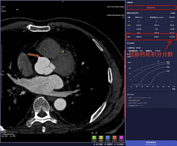
重度钙化的冠状动脉(MIP图像)、黑色部分为钙化斑块

重度钙化的冠状动脉(CPR图像)

冠状动脉钙化积分>1500,提示极重度钙化
报告上的分数直接对应风险,记好这几个数,自己也能判断:
0分:血管里没发现明显钙化,血管状态不错,继续保持健康习惯就好;
1—10分:轻微钙化,低风险,定期复查,少吃重油重盐、多运动;
11—100分:中度钙化,中低风险,重点控制血压血脂,必要时咨询医生;
101—300分:重度钙化,中高风险,需警惕冠心病、心肌梗死,听医生安排进一步检查治疗;
≥300:极重度钙化,高风险,血管可能已经严重狭窄,赶紧就医评估。
最后划重点!
冠脉钙化积分只是个“预警工具”,不是最终诊断,数高不代表一定有冠心病,分数低也不能完全掉以轻心,最终要结合年龄、病史和其他检查进行综合判断。
对咱们普通人来说,冠脉钙化积分就是个靠谱的“血管指南针”,早查早知道血管情况,早养护早安心!符合高危条件的朋友,不妨把它加入常规体检,给心脏多一层保障。
参考文献:
1.《冠心病 CT 检查和诊断中国专家共识》中国医师协会放射医师分会中华放射学杂志,2024,58 (2):113-121
2.《CT 冠状动脉钙化积分的临床意义与应用现状》中华放射学杂志,2025,59 (4):468-472
本文不构成任何医疗建议
就医请遵医嘱







